Prótese Fixa e Removível
Prótese Fixa.
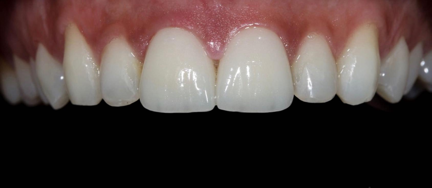
As próteses fixas restabelecem a estética e a função, em casos de ausência de dentes ou da destruição de coroas, a estrutura fixa não pode ser removida pelo paciente, apenas pelo dentista. Na prostodontia fixa temos vários tipos de serviços como por exemplo as coroas que são restaurações cimentadas, que recobrem toda a superfície as pontes fixas ou externa, nestes casos é necessário o desgaste dos dentes por vezes e adjacentes o seu tratamento endodôntico, os dentes que servem de suporte à estrutura chamam-se pilares enquanto os dentes que substituem os dentes ausentes e que ficam suspensos chamam-se pônticos; existe ainda a possibilidade de as estruturas fixas serem suportadas por implantes, como mostra a imagem que se encontra abaixo deste paragrafo. Quanto ao material em que são feitas, estas estruturas podem ser metálicas, acrílicas, metalo-cerâmicas, zircónio, em cerâmicas, em entre outos
Prótese Removível
A prótese removível pode ser utilizada em casos em que o paciente tenha falta de um, vários ou mesmo todos os dentes, esta pode ser retirada pelo paciente para dormir e higienização. Existem neste campo dois grandes grupos tendo em conta o material utilizado, as próteses esqueléticas e as próteses acrílicas, são realizadas totalmente em acrílico que é um material “plástico” enquanto as esqueléticas têm um esqueleto metálico, estrutura que assenta na gengiva e que segura nos dentes naturais. As próteses acrílicas são mais estéticas e económicas quando não têm ganchos metálicos, no entanto são mais espessas e de difícil adaptação à boca, enquanto que as próteses esqueléticas são mais dispendiosas e menos estéticas quando os ganchos metálicos são visíveis, são no entanto mais fáceis de suportar e de adaptação. As imagens abaixo mostra uma prótese total acrílica à esquerda e uma prótese parcial esquelética à direita.
